Q:我的兒子有B型肝炎,最近幾年肝指數一直高高低低,病毒量也都很高,半年前終於符合健保給付標準,開始服用抗病毒藥物,二個月之後,檢測B肝病毒量已經測不到了,可是他的肝指數仍然一直居高不下,在70至100間浮動。他不菸、不酒,生活作息也很正常,我們實在很擔心,是不是目前服用的藥物沒效了?還是發生了什麼
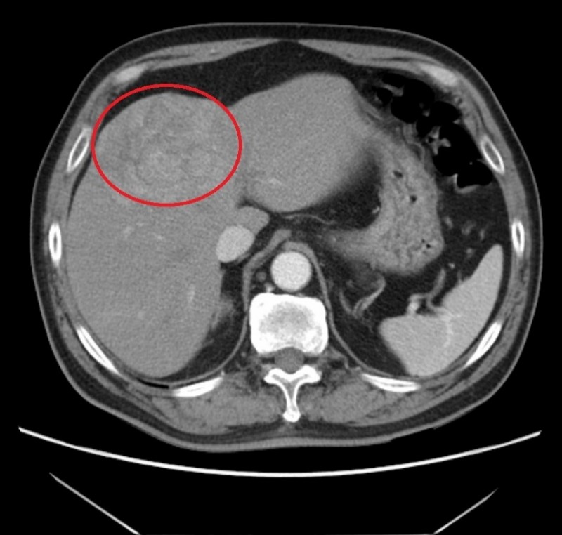
苗栗縣60歲王姓男子,不菸不酒,體檢時發現「胎兒蛋白」的數值高於標準值,進一步檢查,竟發現肝臟有一顆大於7公分的腫瘤;他經醫師調查疾病史,才明白自己是B型肝炎帶原者。王男在醫師建議下,接受第1次肝臟局部栓塞治療,並搭配B型肝炎治療,腫瘤縮小、胎兒蛋白指數也明顯下降,目前控制穩定,於門診定期追蹤治療。
〕永義防癌基金會今天結合阮綜合醫院在鼓山區高馬北極殿社區舉辦「社區健康營造」免費義診,吸引不少民眾參與前來關心自身健康。 這項義診安排量血壓、健康諮詢、肝功能抽血檢查(GOT、GPT)、B型肝炎、C型肝炎篩檢、男性攝護腺癌篩檢(PSA)(55歲以上男性)、超音波、腹部超音波篩檢、乳房超音波篩檢、健康
Q:我有B肝帶原、e抗原陰性,沒有肝纖維化,也沒有肝硬化,原先以為e抗原陰性表示B肝病毒比較不活躍,應該不需要接受治療。沒想到兩年前,我的B型肝炎發作,肝指數GOT、GPT高達1000多,從此開始服用抗病毒藥物。據說e抗原陰性的患者不能停藥,但是我目前的B肝病毒都測不到了,請問我有機會停藥嗎?如果停
Q:我今年65歲,本身有高血壓,固定在心臟科追蹤,醫師偶爾會幫我檢測肝功能指數,每一次結果都正常,上週巧遇肝病基金會來附近做免費的肝病篩檢,我也去抽血檢查,沒想到檢驗報告卻顯示我有B型肝炎,而且AFP胎兒蛋白偏高,要我趕緊至肝膽科進一步檢查,我很訝異,我從來都不知道我有B型肝炎!怎麼會我的肝指數都正
Q:我今年58歲,懷孕時驗血得知有B型肝炎,之後因為工作忙碌,也就沒再追蹤,而且有時去診所看診,只要有符合成人免費健檢的條件,醫師都會幫我驗血,這幾年下來肝功能指數都正常,可是最近常聽到肝病基金會宣導,有慢性B型肝炎的人一定要定期追蹤檢查,請問有這麼嚴重嗎?我的肝指數都正常,也需要追蹤嗎?
Q:我剛新婚不久,最近無意間看到先生的健康檢查報告,發現有很多紅字,其中一項是肝功能指數GPT高達86,腹部超音波顯示有中度脂肪肝。我的父親就是肝硬化離世的,所以我特別恐懼肝病。請問我的先生沒有B肝、C肝帶原,可是有中度脂肪肝,之後有可能會轉變為肝硬化嗎?脂肪肝有辦法治療,恢復到沒有脂肪肝的狀態嗎?
Q:我的媽媽有慢性B型肝炎及肝纖維化,這一陣子她特別容易累,上週開始尿液變深茶色,皮膚也變黃,到醫院抽血檢查後發現GOT、GPT高達兩千多,黃疸值及氨指數也高,醫師診斷為猛爆性肝炎。媽媽之前有吃些保健食品及中草藥,醫師說可能是B肝發作,也可能是藥物造成的,現在我們該怎麼辦才好?B型肝炎有可能會無緣無
Q:我的先生是B型肝炎帶原者,一直都有追蹤檢查。他的肝指數GPT這一年來都持續偏高,大概在60-80之間,而且腹部超音波看起來有脂肪肝,也有纖維化。可是這次回診,醫師卻告訴他「有進步」,因為B型肝炎已經消失了,也有B肝表面抗體。但我們納悶的是,GPT卻還是高達74,請問怎麼會這樣?醫師依然都沒有開藥
61歲劉媽媽去年初常覺得很疲勞,不僅爬樓梯時四肢無力,連梳頭髮都氣喘吁吁,就醫檢查後發現,肝指數持續上升,但進出多家醫院始終找不到病因,甚至到醫學中心住院接受肝臟切片,也沒有特殊發現,施打保肝藥物也只有輕微改善肝指數,整天無精打采,體重直直落,家人看得心急,卻也束手無策。
Q:我是B肝帶原者,也有肝硬化,大概5年前開始服用B肝抗病毒藥物,一開始有健保給付,但是給付3年之後,醫師說健保給付已到期,所以就改自費治療至今。前幾天跟一位同事閒聊,才得知他也有B肝、肝硬化還合併有肝癌,但是他告訴我,他的B肝用藥是健保長期給付的,請問都是B肝、肝硬化,怎麼健保給付的療程卻不相同?
55歲陳先生是B型肝炎帶原者,但他並未定期追蹤,甚至不改抽菸、喝酒、嚼檳榔的惡習,更常在朋友面前逞強,拚命喝酒毫不節制。直到最近他自覺體力變差,上腹悶悶痛痛、食慾不振,決定赴醫檢查,沒想到竟同時罹患食道癌、肝癌和下咽癌,所幸接受手術後病情穩定。
肝病防治學術基金會提供屏東縣民免費肝炎肝癌檢驗,將於7月21日上午8點至11點在車城福安宮、霧台國小勵古百合分校(長治百合園區)以及三地門鄉多功能體育館三鄉鎮同步舉行,20歲以上民眾攜身份證件及健保卡即可參加。六項篩檢項目包含B型肝炎表面抗原、B型肝炎表面抗體、C型肝炎、肝癌檢查(甲種胎兒蛋白AFP
Q:我的兒子今年34歲,有慢性B肝帶原,他服用B肝抗病毒藥已經快6年了,因用藥當時的情況是B肝病毒很高,但肝指數升高未達給付標準,所以這6年來都是自費服藥,這費用對我們而言,實在是不小的負擔。大約3年前開始,他的e抗原消失,B肝病毒也一直維持測不到,可是他的肝指數GPT卻仍在50-60間徘徊。請問,
Q:我今年48歲,高中時曾因急性B型肝炎住院,當時皮膚、眼睛都變黃了,出院後,追蹤了一段時間。醫師說我的B肝好了,肝指數也都很正常,我就沒有繼續看診。最近因為腸胃不適就醫,超音波檢查竟然發現肝臟有一顆腫瘤,又做了電腦斷層,診斷為肝臟增生性結節,目前確定我沒有B型肝炎或C型肝炎帶原,但為什麼還會還長出
宜蘭縣32歲鄭姓男子,最近為出國就讀研究所苦讀,申請學校時赴醫院體檢,卻被檢出罹有B型肝炎,肝指數甚至飆升至800多,出國夢想險些破碎,幸經服藥治療,病情已逐漸穩定。醫師提醒,肝病沒有明顯症狀,若突然覺得身體異常疲倦、腸胃不適、食慾不振,就要提高警覺。
Q:我最近剛跟先生去歐洲度蜜月,回來後,他上吐下瀉、虛弱無力,噁心想吐完全沒有胃口,到院檢查後診斷是急性A型肝炎,GOT、GPT高達2000多,我也因為一直有腹脹及噁心感就醫。結果GPT高達1200,抽血後證實也是急性A型肝炎。請問為什麼同團的爺爺、奶奶跟我們吃一樣的食物都沒事,我們兩個最年輕的人卻
Q:我是C型肝炎患者,在去年服用了12週的C肝口服新藥,已經將C型肝炎治癒了。可是我的先生是B肝帶原者,他服用抗病毒藥物將近4年,B肝病毒測不到已經持續2-3年,但是因為之前曾經有過一次停藥後復發的經驗,所以遲遲不敢停藥,請問目前治療B型肝炎的藥物,都還沒有辦法將B肝治癒嗎?
「醫師,我的抽血報告顯示肝指數異常,這是什麼意思?是大家俗稱的爆肝嗎?我會不會有生命危險?」在腸胃科門診中,常有民眾提出這樣的疑問。肝指數又稱肝功能,在抽血項目上以GOT(AST)、GPT(ALT)來表示,這是肝細胞內兩種最多的酵素,當肝細胞發炎壞死時,這兩種酵素就會跑到血液中。所以當抽血檢查發現肝
Q:我兒子今年28歲,平時很愛運動,最近還迷上跑馬拉松,有時一跑就4個小時以上,可是上週公司體檢卻發現他的肝功能指數異常升高,GPT54,GOT竟然高達256,已經超過正常值的6倍了。我們趕緊帶報告就醫。進一步做了詳細的抽血檢查,醫師告知我們肝指數高應該是跑馬拉松造成的,可是運動不是好事嗎?怎麼卻反