Q:我今年62歲,40多歲時曾經因為B型肝炎發作入院治療,後來肝指數恢復正常,心想應該沒事了,也就沒再回診。過年前常覺得腹脹、吃不太下,但因為年前很忙,想說可能是腸胃問題沒特別理會,直到2月初出現茶色尿,我趕緊就醫,才知道肝指數衝高到1600多,黃疸7點多,原來是B肝又爆發,而且已經演變為猛爆性肝炎
Q:我的先生還是學生的時候,曾抽血發現肝指數過高,當時醫師只說是急性肝炎,因為沒有什麼症狀,他也沒特別理會。後來就自己好了,之後也未再追蹤,最近我跟他一起去體檢,他的肝指數又是紅字,GOT:88、GPT:96,腹部超音波有膽息肉跟重度脂肪肝,請問肝指數高跟以上兩個原因有關嗎?我的先生沒有B、C肝,也
Q:我的爸爸最近去診所拿藥、順便抽血檢查,發現GOT、GPT偏高,所以醫師就幫他做了腹部超音波,竟然發現肝臟有一顆7公分大的腫瘤。轉到大醫院進一步檢查才發現爸爸有B肝帶原,胎兒蛋白高到1000多,事後回想我兩個叔叔也有B肝,而且都是肝癌過世,我們實在是太輕忽了。請問肝癌是不是會家族遺傳?否則怎麼會叔
Q:我本身有慢性B型肝炎帶原,e抗原陽性,2年前GOT、GPT升高到200多,B肝病毒高達8000多萬,從此開始服用抗病毒藥物。今年8月追蹤抽血,終於測不到B肝病毒了,可是11月回診追蹤,我的e抗原還是陽性,而且GOT、GPT也還是稍微偏高,大概維持在60-70之間,請問我這種情況算是有抗藥性嗎?
Q:我的兒子今年40歲,知道有B肝帶原,但沒有規律追蹤。最近因為常腹脹、容易疲勞到醫院就診,醫師安排了抽血、胃鏡及腹部超音波檢查,結果肝指數正常、胃也只有輕微發炎,但超音波卻發現已經有肝硬化的現象,請問怎麼會肝指數正常,但是卻有肝硬化呢?醫師說,我的兒子才40歲就有肝硬化,其病因可能不單純,建議我們
Q:我的父親是B肝帶原者,半年前B型肝炎發作,當時肝指數爆高,連胎兒蛋白都高到100多。服用B型肝炎的抗病毒藥物後,指數才開始慢慢恢復。上週回診時,肝指數及胎兒蛋白都已恢復正常,但是這兩天我發現父親並沒有服用抗病毒藥物,他說胎兒蛋白都恢復正常了,可以安啦!而且他又擔心長期用藥怕對身體不好,所以就自行
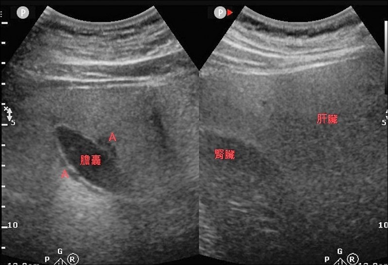
台中一名小四的王小弟,從小長得又高又胖,且喜歡喝飲料、吃速食,體重一直在同齡孩子的95%以上,日前校內健康檢查,發現肝指數(GPT)高出正常值好幾倍,家長帶到醫院經抽血、超音波檢查,發現小小年紀就罹患脂肪肝炎,所幸透過減少糖飲、控制體重和運動後,有效改善肝臟發炎,肝指數也恢復正常,讓他恢復健康、重拾
台中一名小四的王小弟,從小長得又高又胖,且喜歡喝飲料、吃速食,體重一直是同齡孩子的95%以上,日前校內健康檢查,發現肝指數(GPT)高出正常值好幾倍,家長帶到醫院經抽血、超音波檢查,發現小小年紀就罹患脂肪肝炎,所幸透過減少糖飲、控制體重和運動後,有效改善肝臟發炎,肝指數也恢復正常,讓他恢復健康、重
Q:我的女婿是一位餐廳主廚,雖然待遇不錯,可是常常需要試菜,三餐時間也不固定,體重越來越重,偏偏他又有B肝帶原,雖然服用貝樂克已經快4年了,這2年來也測不到B肝病毒了。可是他的GOT、GPT(AST,ALT)還是維持在120上下。我們問醫師有沒有需要換最新的B肝藥物?醫師卻說目前B肝的狀態穩定,是脂
Q:我的兒子今年42歲,沒有B、C型肝炎,因為岳父喜愛喝酒,常常都要陪岳父應酬、喝酒,而且喝的都是烈酒,我的兒子酒量本來就不錯,公司定期體檢肝指數GOT、GPT大都正常,偶爾會稍微升高一點,我們也不以為意。兩年前,他接受腹部超音波檢查只說有中度脂肪肝,怎知一個月前他突然吐血,緊急送院後診斷有肝硬化,
Q:我一位同事的爸爸B肝帶原,沒有肝硬化,GOT、GPT也完全正常,最近在肝癌手術後,醫師就讓他服用B肝抗病毒藥物,而且是健保給付的,我的父親也是慢性B肝的肝癌病人,目前已經做過兩次動脈栓塞治療,但因為沒有肝硬化,如果要服用抗病毒藥,就必須要自費,請問為何都是肝癌病人,待遇卻差這麼多呢?
Q:我是B肝帶原媽媽,e抗原陰性,一直都有定期追蹤,肝指數從來沒有升高,超音波也正常。目前懷孕31週,因為我的B肝病毒量高達7000多萬,醫師在我懷孕28週時,就讓我口服抗病毒藥物治療,可是健保只給付到生產後的一個月。聽說B肝藥物是一旦用藥就不能隨便停藥,請問在健保停止給付後,我到底該自費繼續用藥,
Q:幾個月前我因為腹部悶痛就醫,抽血檢查後發現肝指數高,進一步查明才得知我有B型肝炎,做了腹部超音波,醫師說我的肝臟粗粗的,有纖維化的跡象。我的身體一向很不錯,怎麼會感染B型肝炎病毒呢?肝臟纖維化又該怎麼保養才不會再惡化?如果頭痛難耐,需服用止痛藥,請問會傷肝嗎?
Q:我的弟弟是e抗原陰性的慢性B肝帶原者,3年前因肝指數高,開始用B肝抗病毒藥物,這兩年來B肝病毒都測不到,GPT也正常,今年4月因健保給付療程到期,跟醫師討論後,決定先停藥。停藥至今才4個月,他的B肝病毒量爆衝上億,GPT從兩百多,一路升高到兩千多,眼睛黃、皮膚黃,醫師要安排他入院,還說可能需要做
Q:我今年37歲,有慢性B肝帶原,三年前肝指數高、B肝病毒數也高,但因還未符合健保給付條件,醫師建議先自費服用B肝抗病毒藥物,可是用藥至今,醫師並沒有說可以停藥,一個月將近7000元的藥費,實在是一筆不小的開銷,我身旁也有幾位親朋好友在服用B肝藥,不過他們都是健保給付的,請問到底什麼情況健保才會給付
Q:我大學體檢意外得知有B型肝炎,從此開始定期追蹤,幾乎每一次抽血,GOT、GPT都偏高,腹部超音波醫師只說看起來粗粗的、有脂肪肝,最近因為發現肝臟疑似有一顆腫瘤,轉到大醫院。醫師診斷我已經有肝硬化,幫我安排肝臟切片,查明肝硬化的原因,結果竟然顯示,除了B型肝炎之外,還有脂性肝炎,我已經服用B肝藥物
高雄市鹽埕區文武聖殿舉行安座百年慶典文化祭,日前捐贈3輛總價900多萬的全配救護車給消防局,今天又與永義防癌基金會結合阮綜合醫院,在鹽埕區富野路舉辦「社區健康營造」免費義診,吸引不少民眾前來關心自身健康。 文武聖殿也邀請華山基金會,請來理髮師與美容師在現場為民眾義剪頭髮,並擺設跳蚤市場攤位做公益義賣
Q:我的兒子32歲,是室內設計師,常趕案子熬夜,三餐不正常,最近我看他好像很疲倦,帶他去健檢中心抽血及超音波檢查,發現他除了有中、重度的脂肪肝外,肝指數GOT、GPT也高到100多,此外,膽固醇、尿酸全部都偏高,因為我的先生肝硬化,實在很擔心兒子也會跟他一樣,請問我們該怎麼辦?
Q:我的兒子今年33歲,有慢性B肝帶原,從大學開始就定期追蹤,肝指數都正常,最近我們自費驗了B型肝炎病毒數,病毒數高達6000多萬,真的很嚇人。不過,他的GOT、GPT仍然正常,超音波也沒問題,醫師說目前他的情況不急著用藥,可以再觀察。可是這麼高的病毒數,不治療會不會隨時有爆肝的危險?要到什麼情況下
屏東縣政府今年再度與肝病防治學術基金會合作,由統一超商贊助、屏東百合扶輪社協辦,共同辦理「屏東縣免費肝炎肝癌檢驗活動」,將於本週日(5月5日)上午8點至11點,分別在林邊國中、新埤國小、佳冬鄉公所、泰武鄉武潭村活動中心以及枋山鄉老人活動中心與嘉和社區福德宮,共計5個鄉鎮6個地點同步辦理,只要年滿20