鎮靜安眠藥能緩解失眠困擾,但若誤用或濫用,可能反而被藥物「綁架」。1名40歲女性因失眠開始服用安眠藥,卻逐漸在白天也依賴藥物來逃避工作壓力,劑量越來越高,1天就要吃進10顆,最終陷入藥物依賴無法自拔。醫師提醒,當出現「3種情況」時,就是藥物濫用的警訊。
沈莉馨/核稿編輯桃園市觀音區今(13日)早上7點多發生氣體洩漏,大量橘黃色濃煙竄升天際,桃園市消防局初步研判外洩氣體為酸類氣體,胸腔內科醫師蘇一峰在臉書發文指出,硝酸會產生氮氧化物(NOx),而人體在吸入強酸後產生氣管刺激發炎收縮,也可能發生致命的非心因性肺水腫,建議附近的民眾少出門閉緊門窗,有氣喘
高血壓性疾病常位居國人十大死因之列,落實血壓管理十分重要,國民健康署攜手各界於藥局、量販店、超商、高鐵站、農漁會、里民活動中心等,鼓勵業者自主建置近2千個「722安心血壓站」,免費提供民眾測量血壓,並與民間合作試辦,導入手機APP及AI(人工智慧)數位功能,協助國人血壓健康管理。
新北市議員李翁月娥今(8)天在總質詢中指出,年輕人自殺死亡率逐年攀升,可能源自網路、家庭因素、人際關係、心理及社會壓力大、憂鬱症等,為了強化市民心理健康,市府自2021年起陸續布建社區心理衛生中心,詢問目前建置進度?市府衛生局長陳潤秋回應,截至今年底將累計6處,另,三重據點將設在第二行政中心,預計2
俗稱「皮蛇」的帶狀疱疹疫苗昂貴,市議員朱曖英表示,根據衛福部最新統計,2022年相關皮膚疾病的就診率,台中有3萬5396人次掛號求診皮膚疾病,六都第二高,目前有很多縣市已對長輩及弱勢家庭進行帶狀疱疹的補助,建議衛生局也能補助。衛生局長曾梓展表示,帶狀疱疹活化疫苗,市場目前行情4、5千元,保護力只有6
路邊的野菇不要採!一名69歲男性某日下午約5點吃下自己採摘的野菇約20朵,之後出現頭暈、幻覺,直呼「看到魔神仔」,甚至尿失禁,被送往醫院急診。結果發現是誤食「魔菇」中毒,所幸後續生命徵象穩定,成功保住一命!台北榮總職業醫學及臨床毒物部主任楊振昌表示,魔菇是一種俗稱,在人類已有久遠歷史,在墨西哥一帶用
33歲周太太婚後健康檢查意外發現卵巢功能退化,心中疑惑「我這麼年輕,怎會卵巢退化?」夫妻倆感到震驚與不安,決心加緊備孕、認真調養身體,並求助台南市立醫院中醫好孕門診,接受中醫師張烱宏客製化中醫調理方案,養成易受孕體質,3年內迎來2次好孕,先後生下兒子與女兒。
精神衛生法於2022年修正,將於今年12月14日上路,衛福部長邱泰源今(4日)表示,為了提供精神病患從醫院到社區多元化支持照顧方案,除了檢討收結案標準外,目前全國社區心理衛生中心已設52處,預計明年擴至71處,且心衛社工、關懷訪視員等案量比逐年下降。另司法精神病房未來10年預估需求480床,明年底可
33歲周太太婚後健康檢查意外發現卵巢功能退化,她心中疑惑「我這麼年輕,怎會卵巢退化?」,這讓夫妻倆感到震驚與不安,決心加緊備孕,認真調養身體,並求助台南市立醫院中醫好孕門診,接受中醫師張炯宏客製化中醫調理方案,養成好孕體質,3年內迎來兩次好孕、相繼誕下兒子與女兒。
相關新聞請見健康網》考前怎麼吃?營養師建議務求穩定葉立斌/核稿編輯許多人最近要考試,飲食可以提升考生、孩子的專注力及腦力。營養師薛曉晶在臉書專頁「營養師媽媽曉晶的生活筆記」發文表示,維生素B6和B12對青少年大腦很重要!多攝取能助大腦更有活力、注意力集中,學習效果也更佳。她還推薦了關於維生素B6和B
強颱康芮來勢洶洶,全台今(31日)停班停課,全民備戰,醫療院所大多數門診停診、僅急診照常。急診醫師透露,近年颱風天急診出現不少因過量飲酒而來報到的民眾,因為放假在家聚會,酒喝過量,結果引發噁心、嘔吐,甚至意識不清的症狀,還有人因此受傷。馬偕紀念醫院急診醫學部主治醫師陳則豪表示,急診壅塞是常態,颱風天
新竹台大分院今(29)舉辦「支氣管鏡熱蒸氣肺消融術亞太區訓練醫院揭牌」記者會,院方與堃博醫療簽署「支氣管鏡熱蒸氣肺消融術亞太區訓練醫院」合作案。未來將提供來自台灣及其他亞太區國家的醫療團隊,關於支氣管鏡熱蒸氣肺消融術的完整訓練。新竹台大分院院長余忠仁表示,該院在慢性阻塞性肺病的介入治療已發展數年,累
沈莉馨/核稿編輯多數人容易忽視入睡時間的穩定性,誤以為週末補覺可以彌補,甚至養成了熬夜的習慣,消耗自己生命而不自知!胸腔暨重症醫學科醫師黃軒引述國外研究發現,睡眠不規律,害衰老提早9個月。黃軒在臉書專頁「黃軒醫師 Dr. Ooi Hean」發文引述1項2023年8月發表於《Sleep Health》
桃園市宏其婦幼醫院今(27)日在中壢區花田盛事築夢莊園舉辦31週年院慶活動,邀請在宏其出生的寶寶回娘家,安排寶寶爬行、造型比賽、雙親教室暨準爸比育兒神隊友活動、孕媽咪闖關園遊會、寶寶趣味抓周等,現場加油聲、笑聲不斷,院長張紅淇表示,創院至今,已接生逾7.4萬多名產婦,迎接超過7萬5000多新生兒降臨
台北市議員許家蓓因罹患子宮內膜癌驟逝,令各界惋惜讓,帶動外界重視婦癌預防及治療,我國子宮內膜癌個案數近十年翻倍,台北市議員顏若芳表示,子宮內膜癌目前尚缺通過實證且能廣泛運用的非侵入式檢查方式,聯醫應率全國之先進行實證研究,以維女性國人健康。
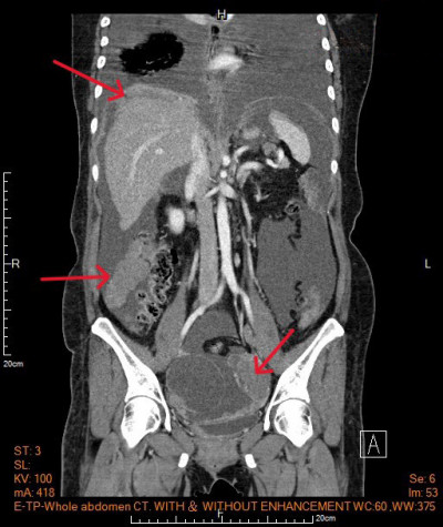
卵巢癌初期症狀不明顯,發現時多已進入晚期,因此被稱為是女性的無聲殺手。馬偕紀念醫院今(25日)分享,針對晚期卵巢癌患者透過術前輔助性化學治療,並在後續手術中結合「腹腔內熱化療(HIPEC)」,將加熱的高濃度化學藥物灌入腹腔,有助於徹底殲滅癌細胞,馬偕婦癌科與外科團隊跨科合作並追蹤治療效果,不少患者成
肺癌名列國人癌症發生率、死亡率第1位,腫瘤轉移與抗藥性更是臨床治療的一大難題。陽明交大與北榮研究團隊研究發現,當肺腺癌患者特定基因表現較低時,腫瘤會分泌特殊物質,使嗜中性白血球不再攻擊腫瘤細胞並協助腫瘤生長,但通過「CXCR2拮抗劑」可阻止此一過程,有望成為未來治療方案。
台中大里一名78歲獨居婦人,日前被鄰居發現跌倒在廚房的地上呻吟,右手和右腳皆無法動彈,以為是中風趕緊送醫,檢查後才發現是血糖過低,而右手右腳不能動彈,是因右肩關節和右髖關節同時發生骨質疏鬆性骨折,經緊急手術治療,並配合健保署針對脆弱性骨折的「急性後期整合照護計畫」,婦人已開始接受復健治療,希望盡快恢
葉立斌/核稿編輯愛喝汽水又擔憂發胖,部分人會選擇無糖汽水。然有一位美國醫師說明,無糖汽水恐導致中風、心血管、腎臟疾病風險大增,更可能擾亂對飲食的控制,導致暴飲暴食。據外媒《每日郵報》報導,在美國加州舊金山執業的醫師賽希(Saurabh Sethi)透過YouTube影片指出,根據美國心臟協會與美國中
台灣擁有世界頂尖醫療資源,但醫療暴力卻頻傳,台北市立聯合醫院和平院區昨(18日)甚至發生民眾在診間亮刀的衝突。台北市議員陳炳甫表示,北市聯醫院方每年舉辦2場醫療暴力防治教育訓練,但醫療暴力數字未見下降,建議可仿效台大醫院雲林成立「白色小組」,在衝突發生時介入協調。對此,聯醫表示將於1個月內評估可行性